

SpecialisttandläkareiJönköping
VÄLKOMMEN TILL JÖNKÖPINGS TANDVÅRD
Vår vision är att kunna erbjuda dig en tandvård på en annan nivå. Hos oss möter du kunniga tandläkare, tandhygienister och tandsköterskor som har just dig i fokus.
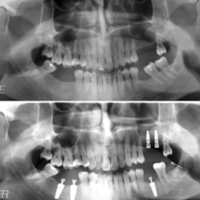
Vi erbjuder allmäntandvård, implantat, estetisk tandvård, tandblekning, tandställningar och kirurgi med mera. Dina tänder och leende är en del av ditt välmående och vi värnar om just din hälsa och livskvalitet.
Varmt välkomna till oss på Jönköpings tandvård!
1 omdömen
Personligt bemötande. Kunnigt vårdteam. Lätt att hitta parkering i närheten.
Ladda upp bilder
(Maximal storlek: 20MB)
18 721 tkr
1 657 tkr
8.9%
Ja
Nej
12
Org.nr.
556898-0634
Juridiskt namn
Jönköpings Och Vaggeryds Tandvård AB
Moms nummer
SE556898063401
Registreringsdatum
2012-07-05
Bolagsform
Aktiebolag
SNI-bransch